Introducción
La fractura de pelvis en pacientes pediátricos resulta una patología poco común.1 Representa entre el 1 y 3 % de las fracturas en los servicios de pediatría.2 Según el Boston Children's Hospital de la Universidad de Harvard, tales lesiones se identifican entre el 2,4 y el 7,5 % de los niños con trauma, con una incidencia estimada de 1 por cada 100 000 por año.3
La hemorragia se asocia frecuentemente con las fracturas de pelvis; por ello requieren hasta un 30 % de transfusiones sanguíneas, con compromiso de órganos intrabdominales (bazo, hígado) y torácicos.1,3,4
Existen consideraciones especiales en los niños con respecto a la fisiología anatómica y el mecanismo de la lesión porque su pelvis se compone por hueso inmaduro. Esto la hace resistente a la fractura debido a su flexibilidad intrínseca y la capacidad de las estructuras cartilaginosas para absorber energía.1,3,5 Los centros de osificación primaria se forman a partir de tres centros: isquion, pubis e ilion, los cuales se reúnen en el cartílago trirradiado; la cresta ilíaca y las tuberosidades isquiáticas constituyen los centros de osificación secundarios.6
La biomecánica pélvica pediátrica se identifica como un anillo que, al romperse en una porción, determina la fractura o luxación en otra porción del anillo;6 en consecuencia, para su diagnóstico y evaluación se debe considerar un manejo inicial de acuerdo con los principios del soporte vital avanzado para traumatismos (ATLS). Este debe reconocer que las fracturas pélvicas graves se producen por mecanismos de alta energía, con lesiones mortales.3
Una evaluación primaria requiere una exploración inicial (orientada al estado general del paciente), una historia clínica completa, un examen físico exhaustivo, pruebas de laboratorio y estudios de imagen, como radiografías y tomografía computarizada, para determinar mejor el compromiso pélvico.1,3,6,7 Luego, se realiza una evaluación secundaria con un examen ortopédico de la pelvis.3,5,7
Para la caracterización de las fracturas de pelvis en pacientes pediátricos, se han planteado una serie de escalas como la clasificación de Tile, Young-Burgess y Torode y Zeig.6 Además, The Orthopaedic Trauma Association ideó un esquema que consta de tres tipos principales y numerosos subtipos.1
Respecto a la etiología, el 57,8 % involucra a un niño golpeado por un vehículo motorizado, seguido de accidentes automovilísticos (17,8 %). Otros mecanismos documentados incluyen caídas, accidentes de bicicletas y motocicletas, y lesiones deportivas de alta energía.1,3,6,8 La mortalidad, según una serie de publicaciones de 1991, oscila entre 0 a 25 %. Sin embargo, la mayoría de las muertes pediátricas se deben a lesiones neurológicas o viscerales, la fractura pélvica y la hemorragia provocan el fallecimiento en menos del 1 %.3,5
El manejo inicial del trauma pélvico pediátrico consiste en la evaluación y estabilización general e identificación de las lesiones asociadas.4 Para proponer el tratamiento más adecuado se necesita reconocer la inestabilidad de la zona y la presencia de fracturas múltiples, porque suelen beneficiarse de la reducción abierta y la fijación interna (ORIF). La mayoría de los traumas pélvicos no requieren tratamiento quirúrgico: estudios ortopédicos reportan que entre el 77,5 y el 94 % de los casos se tratan con éxito sin cirugía.3,9
Aunque continúa el debate sobre la intervención de las fracturas pélvicas pediátricas, la literatura reciente cuestiona el potencial de remodelación de la pelvis inmadura, que lleva a un aumento de la estabilización quirúrgica en este grupo de edad.1,3,6,10) No se encontraron nuevos estudios sobre el abordaje quirúrgico en pacientes menores de 20 meses, por consiguiente, el objetivo de este manuscrito fue describir una técnica de reparación especial en un caso pediátrico de fractura de pelvis.
Presentación de caso
Se presenta el caso de una paciente pediátrica de 18 meses, remitida de un centro de salud de menor complejidad. Manifestaba un cuadro clínico de seis horas de evolución por accidente de tránsito, en calidad de peatón, posterior a trauma por aplastamiento sobre abdomen y pelvis. El mecanismo del trauma no estaba claro porque el acompañante no ofreció la información suficiente. No hubo antecedentes de importancia.
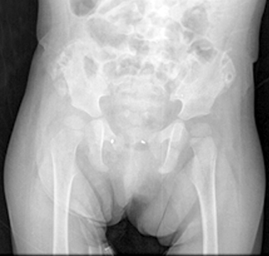
Al ingreso la paciente se encontraba hemodinámicamente inestable, hipotensa, con taquicárdica, y demás signos vitales normales. Al examen físico se observaron marcas de una llanta sobre cresta ilíaca derecha, laceraciones y distensión abdominal. Se tomaron gases arteriales y se constató hiperlactatemia leve, base exceso en -10, y hemoglobina en 6,7. Se realizaron maniobras de reanimación y se trasladó a la sala de cirugía para colocarle un tutor externo en pelvis. Se precisó ingreso en unidad de cuidados intensivos. Se evidenció fractura pélvica inestable Torode y Zeig IV, de libro abierto con fractura asociada a alerón ilíaco (fig. 1).

Fig. 1 Fractura pélvica inestable Torode y Zeig IV, libro abierto con fractura asociada a alerón ilíaco.
Durante la intervención se controlaron los daños mediante la fijación de tutor externo en pelvis por abordaje anterior, la colocación de 2 schanz de 4.0 en cada alerón ilíaco, y el montaje de rótulos y barras de fibra de carbón (fig. 2). El Servicio de Cirugía Pediátrica y Urología continuaron el procedimiento quirúrgico por trauma vesical y tórax cerrado. Posteriormente, se trasladó la paciente a la unidad de cuidados intensivos y se solicitó radiografía portátil de pelvis.
A los 13 días, la paciente presentó evolución satisfactoria y se consideró uso de tutor externo como dispositivo de manejo definitivo de la fractura durante mínimo 1 mes. Tuvo seguimiento ambulatorio. En radiografía de control se evidenció diástasis púbica de aproximadamente 10 cm (fig. 3); por tanto, al día siguiente se retiró el tutor externo, se efectuó el lavado y el desbridamiento de los tractos de clavos.
Se aplicaron antibióticos y se programó para la fijación interna definitiva del material de osteosíntesis. Este se hizo mediante un abordaje tipo Pfannenstiel, que consistió en liberar la zona prevesical y diseccionar los cartílagos del pubis; después se efectuó la maniobra de reducción, por fijación con pinzas e inserción de dos anclajes de 2.0 en titanio, clausura de la sínfisis y paso de doble sutura (fig. 4) para cerrar el anillo pélvico. Por último, se colocó inserción musculotendinosa, se lavó exhaustivamente, mientras se remataron la fascia y la piel con Prolene, el vendaje y la sonda vesical se dejaron por 8 horas.
Las radiografías de control de pelvis mostraron adecuada reducción (fig. 5). La paciente egresó a las 48 horas con órdenes de analgesia, antibiótico por cinco días, terapia física diaria durante 10 días y cita de control a las dos semanas. En la consulta ambulatoria, se observó una evolución clínica satisfactoria, la herida quirúrgica en adecuado estado, sin signos locales de infección, ni alteración vascular, motora o sensitiva, en las extremidades; aunque los rangos de movilidad se mantenían conservados (fig. 6).
Discusión
Ante la problemática acerca del abordaje quirúrgico en los pacientes pediátricos con fractura de pelvis, varios autores indican que la mayoría de los casos se trata de forma conservadora;1 en cambio, niños mayores o con fracturas inestables se manejan con fijación quirúrgica. Sin embargo, en los últimos años la literatura ha cuestionado el aumento de la estabilización quirúrgica de las fracturas de pelvis.
Christopher y otros3 mencionan los diferentes tratamientos según el tipo de fractura, de acuerdo con la clasificación de Torode y Zeig; por ejemplo, del tipo I a la III se realiza manejo conservador durante seis u ocho semanas y en el caso de las tipo IV se utiliza desde tratamiento conservador, con uso de faja pélvica o cabestrillo, hasta la fijación de tutor externo o la fijación interna definitiva.
Mejia y otros11 presentan un algoritmo para el tratamiento de las fracturas de pelvis dividido en cuatro pasos. Primero, activan el protocolo transfusional; luego utilizan cinturón, faja pélvica o cualquier dispositivo que ejerza una fuerza de compresión sobre el anillo pélvico; posteriormente, realizan una tomografía computarizada si el paciente se encuentra hemodinámicamente estable y, por último, si se confirman lesiones intraabdominales, se aplica el procedimiento quirúrgico. Este algoritmo se utilizó en el presente reporte de caso.
Nieto y otros12 estudiaron paciente con fracturas Torode y Zeig tipo IV, aplicaron tratamiento conservador en un 8,33 %, utilizaron placas a la articulación sacroilíaca y luxación del pubis en 37,5 %, entre otros materiales. Ellos propusieron estudiar individualmente al paciente para determinar qué tipo de tratamiento quirúrgico se requiere con el material de fijación adecuado. Esta investigación constituyó un apoyo a la individualización del estudio de caso por cada fractura para su posterior abordaje.
Varios autores mencionan que la tasa de mortalidad por fracturas pélvicas resulta bastante baja (0 % a 2,3 %). Estudios realizados por Torode y Zieg reportan 11 muertes, con un 40 % de los pacientes asociados a lesiones de tratamiento quirúrgico.1) Por su parte, Nieto y otros12 confirman la baja incidencia de esta patología que solo conlleva al 1 % de los ingresos hospitalarios.
Las fracturas de pelvis se derivan de accidentes de tránsito entre peatones y vehículos en un 10-30 % de los casos.1,3,12,13Shore y otros14 recomiendan que ante cualquier traumatismo de alta energía se deben observar los hematomas pélvicos o retroperitoneales, lesiones abdominales, urogenitales y vasculares. En este caso la paciente presentó hemorragia, trauma vesical y de tórax cerrado.
Actualmente la clasificación más utilizada es la propuesta por Torode y Zieg.1 Estos describen cuatro tipos de fracturas pélvicas: tipo I, por avulsión de los elementos óseos de la pelvis; tipo II, fracturas del ala ilíaca; tipo III, que subdivide en tipo III-A (simples, fracturas estables del anillo anterior) y tipo III-B (fracturas pélvicas estables que involucran el anillo anterior y posterior). Las tipo IV constituyen fracturas complejas e inestables del anillo pélvico. El gold estándar para el diagnóstico se considera la tomografía axial computarizada (TAC), siempre que haya estabilidad hemodinámica.2,5
Se sugiere consignar una historia clínica completa para determinar el mecanismo del trauma presentado; además de hacer un buen examen físico.13,15 Se deben palpar todos los relieves óseos del área pelviana y comprimir sobre las espinas ilíacas anterosuperiores para diagnosticar la inestabilidad de la pelvis.5,8
Conclusiones
Las fracturas de pelvis en la población pediátrica resultan infrecuentes en el Servicio de Ortopedia. Se presentan fundamentalmente por accidentes de tránsito con mecanismos de alta energía y, en su mayoría, demandan manejo conservador para la estabilidad del anillo pélvico. Sin embargo, han aumentado las intervenciones quirúrgicas de estas fracturas. La fijación externa y la ORIF constituyen la mejor elección para traumas complejos e inestables. Este reporte de caso ofrece una nueva técnica de reparación especial en pacientes menores de 20 meses. Se recomienda individualizar cada fractura para su abordaje e incentivar la investigación acerca del tema.


















